全てのお悩み相談
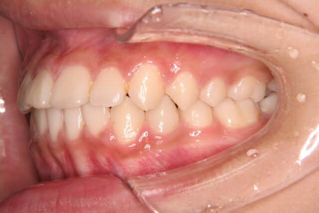
私は上の前歯の片方が出ています。出ている歯を引っ込める矯正をしたいと思っています。
-
Q私は上の前歯の片方が出ています。出ている歯を引っ込める矯正をしたいと思っています。
・私の場合、矯正方法はどれがおすすめですか?
↑なるべく痛みがなく、矯正期間が短く、費用もかからない方法が良いなと思っています。
また、
・マウスピース矯正をする場合、私はどのくらいの期間かかりますか?
よろしくお願いいたしますm(_ _)m



-
A
ご連絡ありがとうございます。西田矯正歯科の西田真です。
上の前歯が出ているのを気にされておられる訳ですね。お写真を拝見させていただいたかぎりでは、上顎前歯を後退させ、口唇を楽に閉じさせることにより口元の改善を行い、さらに噛み合わせの安定性をはかる必要があります。そのためには上顎2本の小臼歯抜歯が必要です。一般的な頬側からの矯正歯科治療で、治療期間はおよそ2.5年です。正確なことはお近くの矯正歯科専門医にて直接お口の中を診ていただいた上で、マウスピース矯正を含めて詳しい治療方針をお聞きください。お手数ですが、よろしくお願いします。
顎変形症の保険治療でもセルフラゲーションブラケットを使用した歯列矯正は可能でしょうか?
-
Q顎変形症の保険治療でもセルフラゲーションブラケットを使用した歯列矯正は可能でしょうか?(滋賀県大津市在住)
-
A
ご連絡ありがとうございます。西田矯正歯科の西田真です。
お写真がないので一度来院していただき、お口の中を拝見させていただいた上で、顎変形症適応症例かどうか判断させていただきます。なお顎変形症でも、自費症例でもセルフライゲーションブラケットを使用しております。相談時間は、30~40分程度で、費用とし顎変形症の場合は保険扱い、自費の場合は¥2,000頂戴しております。お手数ですが、よろしくお願いします。
3年前、高校生の時に周りからたらこ唇と言われて、そこから今日に 至るまでずっと悩んでいます。
-
Q3年前、高校生の時に周りからたらこ唇と言われて、そこから今日に 至るまでずっと悩んでいます。歯並びが悪いとは言われたことがないので、矯正で治 るかどうか教えて頂きたいです。また、期間と金額の面も教えて頂きたいです。よろ しくお願い致します。


-
A
ご連絡ありがとうございます。西田矯正歯科の西田真です。
たらこ唇を気にされておられる訳ですね。たらこ唇の原因の一つに上下前歯の突出があります。お写真を拝見させていただいたかぎりでは、上下顎小臼歯4本の抜歯を行うことにより、前突、口唇の改善を図ります。正確なことは矯正歯科専門医にて直接お口の中を拝見させていただいた上で、詳しい期間、費用など治療方針をお聞きください。お手数ですが、よろしくお願いします。
歯並びが気になり色々調べているうちにアデノイド顔貌、顎変形症ではな いかと思うようになりました。
-
Q歯並びが気になり色々調べているうちにアデノイド顔貌、顎変形症ではな いかと思うようになりました。 カウンセリングを2件受けました。 1件目では、4番を上下抜歯と言われ、顎変形症とは恐らく違うと言われました。 2件目では、出っ歯なのではなく下顎後退の為、外科矯正でないとあまり変わらない かもしれないと言われました。
・下顎が小さいと思うのですが、抜歯して歯を下げた時に舌はちゃんと収まるので しょうか?
・いびきをかくのですが、ひどくなることはあるのでしょうか?
・手術なしではあまり変わらないのでしょうか?その場合は、矯正をする意味がない のでしょうか?


-
A
ご連絡ありがとうございます。西田矯正歯科の西田真です。
お写真だけでは、矯正歯科治療単独ケースか、顎変形症例か判りかねます。正確なことは検査後の診断になります。
> ・下顎が小さいと思うのですが、抜歯して歯を下げた時に舌はちゃんと収まるので しょうか?
舌位は上顎に接しているのが正常ですので、上下の歯並びの状態と舌癖の機能検査を拝見しないと判りかねます。> ・いびきをかくのですが、ひどくなることはあるのでしょうか?
いびきの原因が気道の大きさによるものか、その他に問題があるのかを確認しないと判りかねます。> ・手術なしではあまり変わらないのでしょうか?その場合は、矯正をする意味がないのでしょうか?
矯正歯科治療単独でも噛み合わせの改善は可能かと思われますが、見た目の改善をどこまで求められるかによると思います。 やはり正確なことは、検査をされた上で判断されることをお勧めいたします。
前歯2歯が斜めに八の字に生えてきて両隣の歯が永久歯になったら勝手に寄るのかなと、思ってたんですけど、まだ少しグラグラするくらいで抜けるかんじではないのですが、、、
-
Q前歯2歯が斜めに八の字に生えてきて両隣の歯が永久歯になったら勝手に寄るのかなと、思ってたんですけど、まだ少しグラグラするくらいで抜けるかんじではないのですが、、、
このままずっとスキッパ八の字のまんまなら矯正なのかなと心配になってます。
どうかアドバイスよろしくお願いします。
下の歯は綺麗です。
上の歯は、八の字の2本以外は全部乳歯です。
よろしくお願いします。

-
A
ご連絡ありがとうございます。西田矯正歯科の西田真です。
上の前歯2本が捻れている事を気にされておられる訳ですね。お写真を拝見させていただいたかぎりでは、上の2本の前歯捻れは、その間の小帯と呼ばれる繊維質がまだ大きく残っていることによるものと思われます。前歯の隣の歯が生えてきて、小帯が小さくなれば少しは改善しますが、前歯の捻れが残る可能性があります。そのためお近くの矯正歯科専門医院にて一度診てもらい、治療開始時期や、治療方法などをお聞きになられて下さい。お手数ですが、よろしくお願いします。
はじめまして。中学3年生です。口元のこんもり感が気になります。なので口元を引っ込めたいです。
-
Qはじめまして。中学3年生です。口元のこんもり感が気になります。なので口元を引っ込めたいです。
また、できる限りめだちにくい装置が良いのですが、期間はどのくらいになるのでしょうか?
-
A
ご連絡ありがとうございます。西田矯正歯科の西田真です。
口元が前に出ているのを気にされておられる訳ですね。お写真を拝見させていただいたかぎりでは、口唇を楽に閉じさせ口元の改善を行うためには上下左右4本の小臼歯抜歯が必要です。従いまして治療期間はおよそ2.5〜3.0年です。費用は当院のHPの欄をご参照下さい。正確なことは直接お口の中を拝見させていただいた上で、詳しい治療方針をお話しさせていただけますでしょうか。ご希望の場合は、電話にてお約束をお取りくださるようにお願いいたします。相談時間は、30〜40分程度で、費用として¥2,000頂戴しております。お手数ですが、よろしくお願いします。
歯並びは良いのですが、左右差と、ガミースマイルに悩んでいます。保険適用内で向いている手術などがあったら教えていただきたいです。
-
Q歯並びは良いのですが、左右差と、ガミースマイルに悩んでいます。保険適用内で向いている手術などがあったら教えていただきたいです。

-
A
ご連絡ありがとうございます。西田矯正歯科の西田真です。
確かに左右さとガミースマイルは認められますが、お写真を拝見させていただいた限り、顎の変形症とは認められませんので、そのため矯正歯科治療は、自費扱いになります。正確な治療方針はお近くの矯正専門医にて、直接お口の中を拝見させていただいた上で、詳しいお話をお聞き下さい。お手数ですが、よろしくお願いします。
こんにちわ。 矯正の方を考えているんですが、中切歯と側切歯の間に過剰歯があって、なかなか矯正するのが難しいと言われました。
-
Qこんにちわ。
矯正の方を考えているんですが、中切歯と側切歯の間に過剰歯があって、なかなか矯正するのが難しいと言われました。この過剰歯を抜いて、矯正したいのですが、どんな矯正が向いてるでしょうか?
実は将来、演技の仕事がしたくて、歯をきれいにしたいのですが、もし歯の隙間が収まりきらないのなら、矯正の後、お金を貯めて、セラミックも考えています。
どうしたらいいのかわからなくて悩んでるんですが、どうか教えてください。お願いします。 -
A
ご連絡ありがとうございます。西田矯正歯科の西田真です。
レントゲンがないので正確なことは判りかねますが、過剰歯を抜歯して頂いた上で、歯の隙間と噛み合わせの改善を矯正歯科治療にて行うことは可能です。正確なことは、検査後治療計画の中から選択されては如何でしょうか。お手数ですが、よろしくお願いします。
4歳の娘です。 ずっと悩んでいるのですが… 娘が思いっきり笑うと、上の歯茎が結構見えてしまいます。。 女の子なので本当に気にしています。 何か、治療方法はありますでしょうか?
-
Q4歳の娘です。
ずっと悩んでいるのですが…
娘が思いっきり笑うと、上の歯茎が結構見えてしまいます。。
女の子なので本当に気にしています。
何か、治療方法はありますでしょうか?
もしするのであれば、治療をする最適な年齢、費用、メリットデメリットなど教えていただけると嬉しいです。
歯肉切除、上唇粘膜切除術や歯冠長延長術など、色々みていますが、まだ4歳なので、大人の歯になるにつれて目立ちにくくなればまだいいのですが…写真を撮るたびに、思いっきり楽しそうに笑っているのに歯茎にばかり目がいってしまい、母親的にそこばかり気になってしまいます。。
アドバイス宜しくお願い致します。
写真がうまく撮れずすみません。
-
A
ご連絡ありがとうございます。西田矯正歯科の西田真です。
お写真を拝見する限る現時点では確かにガミースマイルです。ただ成長中のお子様なのでどのように変化するかは判りかねます。
またガミースマイルに対する歯冠長延長術などは、成人の永久歯に対する処置です。そのため暫くは様子を見るしかないと思われ、上顎の前歯が萌出した頃に一度小児歯科医に相談なされるのが良いかと思われます。お手数ですが、よろしくお願いします。
子供の下前歯の永久歯が内側に出てきてしまいました。 真ん中は乳歯で小児歯科のレントゲンでは真ん中の永久歯は無い、という事で、それを残して矯正すべきか暫く様子を見るべきか?
-
Q子供の下前歯の永久歯が内側に出てきてしまいました。
真ん中は乳歯で小児歯科のレントゲンでは真ん中の永久歯は無い、という事で、それを残して矯正すべきか暫く様子を見るべきか?
ご相談したくメール致しました。 -
A
ご連絡ありがとうございます。西田矯正歯科の西田真です。
下の前歯2本が先天的に欠損していることを気にされておられる訳ですね。
お写真を拝見させていただいたかぎりでは、下顎の2本の前歯のみしか永久歯が生えておられないので、上の前歯が生えた頃に将来の噛み合わせを考えて治療方針を決めれば良いと思います。その頃に矯正歯科専門医にて診断して頂いて決定されては如何でしょうか。お手数ですが、よろしくお願いします。