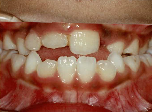
歯がガタガタ(叢生)
学校の歯科検診で矯正歯科の受診をすすめられた
-
Q初めまして、質問を失礼致します。
学校の歯科健診で歯並びが悪いため歯科受診をすすめられています。顎が小さく矯正は必要そうに思うのですが、時期などは早い方が良さそうでしょうか?矯正の必要性、開始時期、治療期間などお分かりになる範囲でご回答頂けますと幸いです。乳歯はまだ全部生え変わっておらず、上の前から2番目両サイドは永久歯がおくから出てきている状態です。



-
Aご連絡ありがとうございます。西田矯正歯科です。お写真を拝見する限り、お気づきのように顎が小さいので上下の2番目の歯が正しい位置ではなく後ろから生えてきております。また上下の2番目の歯は歯磨きがしにくいためと、お口が少し開いているせいで歯茎が腫れておられます。さらにしっかりとした噛み合わせも認められません。矯正歯科治療といたしましては、上下の顎を広げて2番目の歯を前に移動させます。開始時期は、顎の拡大が容易な乳歯が残っている今から開始をお勧めします。治療期間は月1回程度の来院で2年程度かかります。他にも気になることがございましたらご連絡ください。宜しくお願いします。
歯列矯正のフォトカウンセリングをお願いしたく、ご連絡しました。
-
Q歯列矯正のフォトカウンセリングをお願いしたく、ご連絡しました。
こちらの希望としては、
・上前歯のねじりを治したい
・ゴボ口を直して、横顔を綺麗にしたい
・できるならば矯正で顔の輪郭も整えたい(顎がないのと、食いしばりが気になる。エラはありません。)
と考えております。
下記、可能な範囲で教えていただくことは可能でしょうか?
・矯正にかかる時間と治療法、費用
・抜歯は何本必要か
お手数おかけしますが、よろしくお願いいたします。




-
A
ご連絡ありがとうございます。西田矯正歯科です。
お写真を拝見する限り、小臼歯4本の抜歯が必要で、期間は2.5年程度です。
その後保定期間は必要です。
お顔の輪郭に関しましては、アゴが小さいのでどこまで整えられるかは不明です。
正確なことはお口の中を拝見させていただいた上で、詳しい治療方針をお話しさせていただけますでしょうか。
当院の費用に関しましては、HPをご参照下さい。
ご予約は都合の良いお時間を電話にてお取りくださるようにお願いいたします。 相談時間は、30~40分程度で、費用として¥2,000頂戴しております。
お手数ですが、よろしくお願いします。
前歯があたって、奥歯が全く噛み合っていません。 保険診療の適用は難しいでしょうか?
-
Q前歯があたって、奥歯が全く噛み合っていません。
保険診療の適用は難しいでしょうか?
-
A
ご連絡ありがとうございます。西田矯正歯科です。
お写真を拝見する限り保険適応ではありません。
矯正歯科単独での治療方針はお近くの矯正歯科専門医にてお話をお聞き下さい。
お手数ですが、よろしくお願いします。
歯並びで悩んでるんですけど保険適用されますか?
-
Q歯並びで悩んでるんですけど保険適用されますか?



-
A
ご連絡ありがとうございます。西田矯正歯科です。
お写真を拝見する限り保険適応ではありません。
歯並びの改善、口元の改善は可能ですが自費扱いになります。
詳しい治療方針はお近くの矯正歯科専門医にて直接お口を見てもらった上でお尋ねください。
お手数ですが、よろしくお願いします。
笑ったら歯茎が出るのと出っ歯に悩まされてます。 顎変形症と関係あるかはわからないですけど、無呼吸です。
-
Q笑ったら歯茎が出るのと出っ歯に悩まされてます。
顎変形症と関係あるかはわからないですけど、無呼吸です。
僕の場合は顎変形症なのかどうかと思い相談させていただきました。
-
A
ご連絡ありがとうございます。西田矯正歯科です。
お写真を拝見する限り顎変形症ではありません。
ただ、無呼吸とのことですので、一度歯科口腔外科にて治療方法をご相談される事をお勧め致します。
7歳男児です。 右前歯は永久歯が既に生えており(真っ直ぐはえていました)、左前歯も出てきているのですがこれは外側に向かって斜めに生え、左前歯の左側の歯の上に被さって出てきています。
-
Q7歳男児です。
右前歯は永久歯が既に生えており(真っ直ぐはえていました)、左前歯も出てきているのですがこれは外側に向かって斜めに生え、左前歯の左側の歯の上に被さって出てきています。
右前歯も左前歯の影響か、外側に傾いてきているように見えます。
生えかけの右前歯を触ると痛がります。
このまま見守って大丈夫でしょうか?
-
A
ご連絡ありがとうございます。西田矯正歯科の西田真です。
お写真を拝見したところ、上の前歯の位置とその隣の今後生えてくる歯のスペースが無いように思えます。
口元や奥歯の噛み合わせも含めて矯正歯科専門医にてご相談されることをお勧めいたします。
お手数ですが、よろしくお願いします。
歯並びがガタガタで悩んでいます。 22.23歳くらいには結婚したいと考えていて、それまでに綺麗にしたいと思い相談させて頂きました。
-
Q歯並びがガタガタで悩んでいます。
22.23歳くらいには結婚したいと考えていて、それまでに綺麗にしたいと思い相談させて頂きました。
この歯並びは何年くらいで治りますか?
総額はいくらくらいかかりますか?

-
A
ご連絡ありがとうございます。西田矯正歯科の西田真です。
前歯のガタガタを気にされておられる訳ですね。
お写真を拝見させていただいたかぎりでは、上下左右の小臼歯を4本抜歯し、噛み合わせの改善をはかる必要があり、装置装着後治療期間はおよそ2.5年程度です。
費用は当院のHPの欄をご参照下さい。
正確なことは直接お口の中を拝見させていただいた上で、詳しい治療方針をお話しさせていただけますでしょうか。
お手数ですが、よろしくお願いします。
アデノイド顔貌?口ゴボ?で悩んでいます。 どちらかの状態なのでしょうか?どちらもでしょうか?
-
Qアデノイド顔貌?口ゴボ?で悩んでいます。
どちらかの状態なのでしょうか?どちらもでしょうか?あるいは該当しないのか。
また、上顎も下顎も突出しているのか、上顎だけなのかなども知りたいです。
あまり上手に写真が撮れてないかもしれませんが、よろしくお願いします。
※大学生くらいまでずっと口呼吸だったのでそれが原因だと思います。

-
A
ご連絡ありがとうございます。西田矯正歯科の西田真です。
口元の突出感を気にされておられるのですね。
お写真を拝見させていただいたかぎりでは、上下顎前歯の突出を認めます。
そのため上下左右の小臼歯4本の抜歯を行うことにより、口唇を楽に閉じさせ口元の改善を行い、矯正後の噛み合わせの安定性をはかる必要があります。
正確なことはお近くの矯正歯科専門医にてご相談ください。
お手数ですが、よろしくお願いします。
小学1年6歳です。最近歯がどんどん抜け、前歯の右側が縦に生えてきていることに、気づきました。
-
Q小学1年6歳です。
最近歯がどんどん抜け、前歯の右側が縦に生えてきていることに、気づきました。
早めに受診して、ゆくゆくは矯正という流れになるのでしょうか。 -
A
ご連絡ありがとうございます。西田矯正歯科の西田真です。
上の前歯2本が捻転しているのを気にされておられる訳ですね。
お写真を拝見させていただいたかぎりでは、捻転解消のために上顎の歯列弓の拡大を行いますが、矯正開始時期はもう少し先かと思います。
お近くの矯正歯科線専門医にて一度お口の中を診てもらい、他に問題点がないかどうか確認していただいて下さい。お手数ですが、よろしくお願いします。
左下6番及び右上6番を虫歯により抜歯してしまいました。
-
Q左下6番及び右上6番を虫歯により抜歯してしまいました。
一般歯科の方よりブリッジか入れ歯か何もしないかという治療の選択を迫られています。
矯正治療により抜歯跡を埋めながら歯を並べることはできないでしょうか。

-
A
ご連絡ありがとうございます。西田矯正歯科の西田真です。
お写真を拝見させていただいたかぎりでは、抜歯スペースの閉鎖ができるかもしれません。ただそのためには、歯を動かす部位に十分な骨の厚さ、量があるかの確認と、歯の移動用の矯正用アンカスクリューの埋入が必要です。正確なことは直接お口の中を拝見させていただいた上で、さらに詳しい検査をしてみないと分かりかねます。