受け口(下顎前突)
以前、他院の歯科で骨格性下顎前突の「顎変形症」と診断されたのですが、その後に美容外科で下顎セットバック手術を受けました。
-
Q以前、他院の歯科で骨格性下顎前突の「顎変形症」と診断されたのですが、その後に美容外科で下顎セットバック手術を受けました。
それでも尚、下顎の突出感が残った状態で悩んでおります。
セットバック手術を受けてしまうと、保険適用の顎変形症の手術は受けられないのでしょうか。
教えて頂きたいです。
宜しくお願い致します。 -
A
ご連絡ありがとうございます。西田矯正歯科です。
以前に顎変形症として診断されておられましても美容外科にて手術を受けておられるとのことですので、現時点で顎変形症として認められるかが問題になります。
もし顎変形が改善されておられましたら、保険適応は難しいかと思われます。
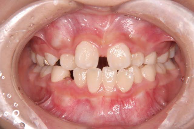
小さい頃から中学1年まで矯正をしていました。 中学の後半から歯医者に行く時間が部活動でなくなってしまい矯正を外しました。
-
Q小さい頃から中学1年まで矯正をしていました。
中学の後半から歯医者に行く時間が部活動でなくなってしまい矯正を外しました。
今年21歳になります。
再び矯正を始めたいと思いました。
手術するか矯正するのかどっちのほうが良いのでしょうか?


-
A
ご連絡ありがとうございます。西田矯正歯科です。
お写真を拝見させていただいた限りでは、手術を前提にした治療をされることをお勧めします。
お写真より骨の状態に問題がありそうなので、外科矯正を併用する顎変形症矯正歯科治療が必要だと思われます。
外科矯正併用治療は、保険適応されますので、お近くの顎変形症取扱の矯正歯科専門医に一度ご相談ください。
お手数ですが、よろしくお願いします。
1年前に受け口が悩みで美容外科でセットバック手術をしたのですが、骨格的にまだしゃくれた感じがあり悩んでいます。
-
Q1年前に受け口が悩みで美容外科でセットバック手術をしたのですが、骨格的にまだしゃくれた感じがあり悩んでいます。
美容外科でセットバック手術をした後でも顎変形症と診断されれば、保険適用の外科矯正治療は可能なのでしょうか?
教えて頂きたいです。
(セットバック手術をする前に矯正歯科で何軒かの歯科で精密検査などをし顎変形症の手術が適用になると診断されていました) -
A
ご連絡ありがとうございます。西田矯正歯科です。
お写真を拝見する限り、現時点ではすでに下顎のセットバックをされておられる関係で、顎変形症とは認められません。
そのため保険適応にはなりません。
受け口(しゃくれ)を治したいです。 横から見た時の下顎が出てるのが気になります。
-
Q受け口(しゃくれ)を治したいです。
横から見た時の下顎が出てるのが気になります。
これは矯正(整形以外)でなおせるのでしょうか。
外見写真を送ります。 -
A
ご連絡ありがとうございます。西田矯正歯科の西田真です。
お口の写真がはっきりと写っていないので正確なことは判りかねますが、お顔の写真のみで判断させていただきますと、気にされておられます横から見た下顎の出ていることを改善するには、外科矯正を併用した矯正歯科治療が必要です。
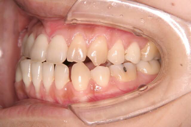
通っている歯科でインビザラインをすすめられましたが、費用がおおよそ 100万ほどかかると言われました。私の口はおそらく受け口で横顔も顎が出ているのですが、保険適用で矯正することは 可能なのでしょうか?
-
Q通っている歯科でインビザラインをすすめられましたが、費用がおおよそ 100万ほどかかると言われました。 私の口はおそらく受け口で横顔も顎が出ているのですが、保険適用で矯正することは 可能なのでしょうか?


-
A
ご連絡ありがとうございます。西田矯正歯科の西田真です。
お写真を拝見するかぎり、顎骨の変形は認められませんので、保険適応外になります。正確なことはお近くの顎変形症取り扱いの矯正歯科にて診て貰ってください。お手数ですが、よろしくお願いします。
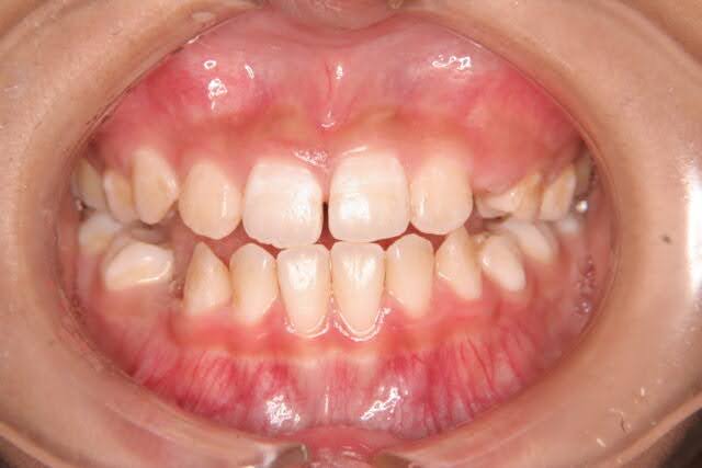
これは顎変形症でしょうか? 顔左右非対称 下顎が横にずれている 前歯が噛み合っていない 正中が合っていない 受け口 顎関節症 の自覚があります。
-
Qこれは顎変形症でしょうか? 顔左右非対称 下顎が横にずれている 前歯が噛み合っていない 正中が合っていない 受け口 顎関節症 の自覚があります。
小学生の頃に受け口や歯並びを治すために歯科矯正、抜歯もしていますがこの状態で す。
写真だけでの判断は難しいとは思いますが 顎変形症で保険適応で治せる可能性はあるのでしょうか?
よろしくお願いします。


-
A
ご連絡ありがとうございます。西田矯正歯科の西田真です。
お写を拝見する限り、顎変形症とは認められません。噛み合わせの改善は、矯正用アンカースクリューを併用した矯正歯科治療にて改善可能かと思われます。正確のことは、お近くの矯正歯科専門医にてお尋ねください。お手数ですが、よろしくお願いします。
かかりつけの歯医者で、以前より顎を出す癖があり、受け口の心配を伝えていました。
-
Qかかりつけの歯医者で、以前より顎を出す癖があり、受け口の心配を伝えていました。
永久歯が生えた時に、自然と正しい位置で生えてくるかもしれないからと言われ様子を見ておりましたが、乳歯前歯2本抜けたので定期検診で見てもらいましたが、やはり思ったより内側から生えてきていると言われました。
まだ前歯は完全には生えてきていませんが、この状態から矯正を始める方がいいのでしょうか?
もう少し生えそろってからの方がいいのでしょうか?
顎を出すのが癖なのか、骨格なのかもよく分からず、癖だと矯正してもまたすぐ歪んでしまわないかと心配もあります。
お伺い前に、メールで相談させていただけるのは、本当に助かります!
お時間ある時に、相談に乗っていただけたらと思います。
よろしくお願い申し上げます。
写真も送ります。 -
A
ご連絡ありがとうございます。西田矯正歯科の西田真です。
受け口を気にされておられる訳ですね。お写真を拝見させていただいたかぎりでは、もう少し上顎の前歯が生えてから治療を開始するかどうかの判断で十分かと思います。顎を出すのが癖なのか、歯に誘導されて出されているのかはお写真だけでは判断しかねます。そのため正確なことは前歯がもう少し生えた段階で、直接お口の中を拝見させていただいた上で、お話しさせていただけますでしょうか。お手数ですが、よろしくお願いします。
下の歯がだいぶ上の歯よりもでてます。頭痛がしたり、こめかみがいたくなるようなことが多いのはこのせいでしょうか。
-
Q下の歯がだいぶ上の歯よりもでてます。
頭痛がしたり、こめかみがいたくなるようなことが多いのはこのせいでしょうか。
できれば保険適用で治療したいのですが、方法はありますか?
虫歯は治療中です。 -
A
ご連絡ありがとうございます。西田矯正歯科の西田真です。
お写真を拝見する限り外科矯正を併用ケースの可能性があり保険適応になります。ただボーダーラインの場合は、検査後に判断させて頂きます。正確なことは一度来院していただき、お口の中を拝見させていただいた上で、詳しい治療方針をお話しさせていただけますでしょうか。お時間は、30〜40分程度です。来院日は、お電話にてお約束時間をお取り下さい。お手数ですが、よろしくお願いします。
矯正歯科に行って受け口を直すため矯正をしたいと相談しました。しかし、外科手術が必要と言われ金額も矯正治療に比べさらに高くなると言われました。
-
Q矯正歯科に行って受け口を直すため矯正をしたいと相談しました。しかし、外科手術が必要と言われ金額も矯正治療に比べさらに高くなると言われました。
この場合保険適用になりますか?また、いくらくらいですか?

-
A
ご連絡ありがとうございます。西田矯正歯科の西田真です。
お写真を拝見させて頂いたところ、外科手術の併用が必要な顎変形症だと思われます。正確なことは、お口の中を拝見させていただいた上で、詳しい治療方針をお話しさせていただけますでしょうか。ご希望の時間を、電話にてお取りくださるようにお願いいたします。相談時間は、30分程度です。費用は、健康保険が適応されますので健康保険証をお持ちください。お手数ですが、よろしくお願いします。
歯の噛み合わせについて上の歯と下の歯の位置がズレていて、少し受け口気味になっているので治したいと思っています。
-
Q歯の噛み合わせについて上の歯と下の歯の位置がズレていて、少し受け口気味になっているので治したいと思っています。(京都市山科区在住)
-
A
ご連絡ありがとうございます。西田矯正歯科の西田真です。
お写真がないので一度来院していただき、お口の中を拝見させていただいた上で、詳しい治療方針をお話しさせていただけますでしょうか。ご希望の時間を、電話にてお取りくださるようにお願いいたします。相談時間は、30~40分程度で、費用として¥2,000頂戴しております。お手数ですが、よろしくお願いします。