全てのお悩み相談
韓国で矯正治療をして、2006年頃終わりました。 2年前から、少し歯の並びが変わり始め、気になっており、再矯正を考えています。
-
Q韓国で矯正治療をして、2006年頃終わりました。
2年前から、少し歯の並びが変わり始め、気になっており、再矯正を考えています。
これを機に、矯正治療後、少し不満だったところもできれば一緒に直したいです。
私の場合、4本の歯を抜歯し、矯正治療をしたのですが、口が入りすぎた感覚(突出の反対)があります。自分の美的な感覚としては、話すとき歯がよく見えて、少し元気な口元が欲しいです。
歯に大きな負担をかけずに、どういう風な治療が可能でしょうか。 -
A
ご連絡ありがとうございます。西田矯正歯科の西田真です。
口元の状態を気にされておられるのですね。
お写真がないので正確なことは言えませんが、話す時に歯が良く見えて、元気な口元に改善するに、矯正歯科治療にて前歯の治療を行いますが、場合によりスペースが出来、そこに人工歯を入れる必要があるかもしれません。
そのため以前の治療よりも大変になる可能性もあります。
正確なことはお近くの矯正歯科専門医にてご相談ください。お手数ですが、よろしくお願いします。
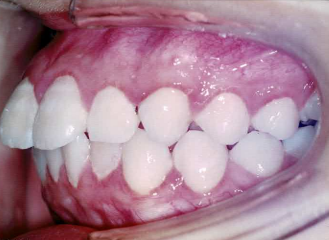
アデノイド顔貌?口ゴボ?で悩んでいます。 どちらかの状態なのでしょうか?どちらもでしょうか?
-
Qアデノイド顔貌?口ゴボ?で悩んでいます。
どちらかの状態なのでしょうか?どちらもでしょうか?あるいは該当しないのか。
また、上顎も下顎も突出しているのか、上顎だけなのかなども知りたいです。
あまり上手に写真が撮れてないかもしれませんが、よろしくお願いします。
※大学生くらいまでずっと口呼吸だったのでそれが原因だと思います。

-
A
ご連絡ありがとうございます。西田矯正歯科の西田真です。
口元の突出感を気にされておられるのですね。
お写真を拝見させていただいたかぎりでは、上下顎前歯の突出を認めます。
そのため上下左右の小臼歯4本の抜歯を行うことにより、口唇を楽に閉じさせ口元の改善を行い、矯正後の噛み合わせの安定性をはかる必要があります。
正確なことはお近くの矯正歯科専門医にてご相談ください。
お手数ですが、よろしくお願いします。
小学1年6歳です。最近歯がどんどん抜け、前歯の右側が縦に生えてきていることに、気づきました。
-
Q小学1年6歳です。
最近歯がどんどん抜け、前歯の右側が縦に生えてきていることに、気づきました。
早めに受診して、ゆくゆくは矯正という流れになるのでしょうか。 -
A
ご連絡ありがとうございます。西田矯正歯科の西田真です。
上の前歯2本が捻転しているのを気にされておられる訳ですね。
お写真を拝見させていただいたかぎりでは、捻転解消のために上顎の歯列弓の拡大を行いますが、矯正開始時期はもう少し先かと思います。
お近くの矯正歯科線専門医にて一度お口の中を診てもらい、他に問題点がないかどうか確認していただいて下さい。お手数ですが、よろしくお願いします。
左下6番及び右上6番を虫歯により抜歯してしまいました。
-
Q左下6番及び右上6番を虫歯により抜歯してしまいました。
一般歯科の方よりブリッジか入れ歯か何もしないかという治療の選択を迫られています。
矯正治療により抜歯跡を埋めながら歯を並べることはできないでしょうか。

-
A
ご連絡ありがとうございます。西田矯正歯科の西田真です。
お写真を拝見させていただいたかぎりでは、抜歯スペースの閉鎖ができるかもしれません。ただそのためには、歯を動かす部位に十分な骨の厚さ、量があるかの確認と、歯の移動用の矯正用アンカスクリューの埋入が必要です。正確なことは直接お口の中を拝見させていただいた上で、さらに詳しい検査をしてみないと分かりかねます。
通っている歯科でインビザラインをすすめられましたが、費用がおおよそ 100万ほどかかると言われました。私の口はおそらく受け口で横顔も顎が出ているのですが、保険適用で矯正することは 可能なのでしょうか?
-
Q通っている歯科でインビザラインをすすめられましたが、費用がおおよそ 100万ほどかかると言われました。 私の口はおそらく受け口で横顔も顎が出ているのですが、保険適用で矯正することは 可能なのでしょうか?


-
A
ご連絡ありがとうございます。西田矯正歯科の西田真です。
お写真を拝見するかぎり、顎骨の変形は認められませんので、保険適応外になります。正確なことはお近くの顎変形症取り扱いの矯正歯科にて診て貰ってください。お手数ですが、よろしくお願いします。
矯正の保険は適用されますか?保険が適用された場合とされなかった場合 の値段を教えてください。また矯正によってアデノイドはマシになりますか?
-
Q矯正の保険は適用されますか?保険が適用された場合とされなかった場合 の値段を教えてください。また矯正によってアデノイドはマシになりますか?



-
A
ご連絡ありがとうございます。西田矯正歯科の西田真です。
写真を見させて頂きましたが、矯正歯科単独治療と外科矯正を前提とした治療のボーダーラインケースかと思われます。正確になことは、検査結果を参考に判断させて頂きます。矯正歯科治療単独の場合の費用に関しましては、HPをご参照ください。アデノイドは、検査結果により摘出していただくか、縮小を期待するかは、耳鼻科の先生と相談させて頂きます。
はじめまして。矯正を考えており、指導医の中で様々な医院のHPを見ているときにこちらに辿り着きました。
-
Qはじめまして。矯正を考えており、指導医の中で様々な医院のHPを見ているときにこちらに辿り着きました。
他院で抜歯しないといけないといけないと言われましたが弛みや輪郭の変化、期間(2年後に上京する予定なので)などが心配です。
機能性と同じくらいに審美性も重要視しているので教えていただきたいです。


-
A
ご連絡ありがとうございます。西田矯正歯科の西田真です。
お写真を拝見させていただいたかぎりでは、八重歯と口元の改善のために、少なくとも上顎の2本の小臼歯の抜歯が必要です。
下顎は、歯の幅の削合もしくは抜歯の可能性があります。
治療期間はおよそ2.5年程度ですので、京都で矯正歯科治療を開始された場合は、転医の可能性があると思われます。
これは顎変形症でしょうか? 顔左右非対称 下顎が横にずれている 前歯が噛み合っていない 正中が合っていない 受け口 顎関節症 の自覚があります。
-
Qこれは顎変形症でしょうか? 顔左右非対称 下顎が横にずれている 前歯が噛み合っていない 正中が合っていない 受け口 顎関節症 の自覚があります。
小学生の頃に受け口や歯並びを治すために歯科矯正、抜歯もしていますがこの状態で す。
写真だけでの判断は難しいとは思いますが 顎変形症で保険適応で治せる可能性はあるのでしょうか?
よろしくお願いします。


-
A
ご連絡ありがとうございます。西田矯正歯科の西田真です。
お写を拝見する限り、顎変形症とは認められません。噛み合わせの改善は、矯正用アンカースクリューを併用した矯正歯科治療にて改善可能かと思われます。正確のことは、お近くの矯正歯科専門医にてお尋ねください。お手数ですが、よろしくお願いします。
下の歯のEが乳歯のまま残っており、もうすぐ抜けそうなのですが永久歯はありません。
-
Q下の歯のEが乳歯のまま残っており、もうすぐ抜けそうなのですが永久歯はありません。
普通であればインプラントだと思うのですが、噛み合わせ、歯並びも気になっており、今後の治療の相談がしたいです。
矯正だけで抜けたところにインプラントを入れずに済む方法はあるのか、インプラントを入れてから今後矯正がしたいとなったときにそれをするのは可能なのか教えていただきたいです。

-
A
ご連絡ありがとうございます。西田矯正歯科の西田真です。
継続永久歯のない下の乳歯が抜けた場合、治療方法として永久歯が欠損している部位にインプラントを入れて頂くか、そのスペースを矯正歯科治療にて閉鎖出来るかです。
矯正歯科治療にて閉鎖する場合、後ろの大臼歯を前の方に移動しなければなりませんが、その量は前歯部の歯を後ろに動かせる量により、大臼歯の前方移動量が決まります。
また一般的に大臼歯を前方に移動させる場合、前方の方が骨幅が狭くなりますので、移動させるだけの骨幅があるかどうか問題になり、さらに前方移動させるために矯正用のアンカースクリューが必要になります。
インプラントが既に入っている場合、インプラントは動かせませんので、その条件で矯正治療が出来るかどうかが問題になります。
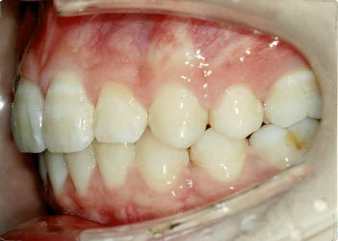
軽度の出っ歯です。また、歯並びが1対1の状態のため、下顎を上の歯に合わせる様に前に出して噛み合わせている様です。
-
Q軽度の出っ歯です。また、歯並びが1対1の状態のため、下顎を上の歯に合わせる様に前に出して噛み合わせている様です。
他院にてセファロを取ってもらいました。もともと上下4本抜歯が必要ということでしたが、健康な歯を出来るだけ残したいと希望し、上2本抜歯し、上下歯を削る予定です。
親知らずを抜いて、奥に下がる、又は拡大床を使うなどのスペースがあまりないのでやめておいた方がいいとのことでした。
ただ、上2本の抜歯もできれば避けたいですが、それは難しいでしょうか?
歯並びのいい出っ歯になるのは嫌ですが、いまの一応Eラインは整っているらしく、下げ過ぎによって口元貧相になったりしゃくれて見えたりしないかも、心配です。
ご教示いただけますでしょうか。

-
A
ご連絡ありがとうございます。西田矯正歯科の西田真です。
お写真を拝見する限り、上顎小臼歯抜歯は必要であり、矯正歯科では普通の一般的な治療です。どうしても小臼歯抜歯を避けたい時は、上顎大臼歯を後ろに送り小臼歯を非抜歯で治療することも可能な場合もあります。ただこの時は、大臼歯を後ろに移動させる骨があるという条件が必要です。骨があるかどうかは、普通のレントゲン撮影では判りかねますので、CT撮影にて骨幅があることの確認と、後ろに動かすための矯正歯科用アンカースクリューが必須です。そのため可能かどうかは、検査結果によります。