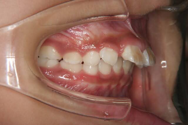
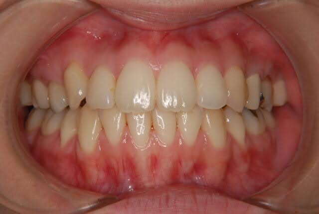
CASE 症例紹介
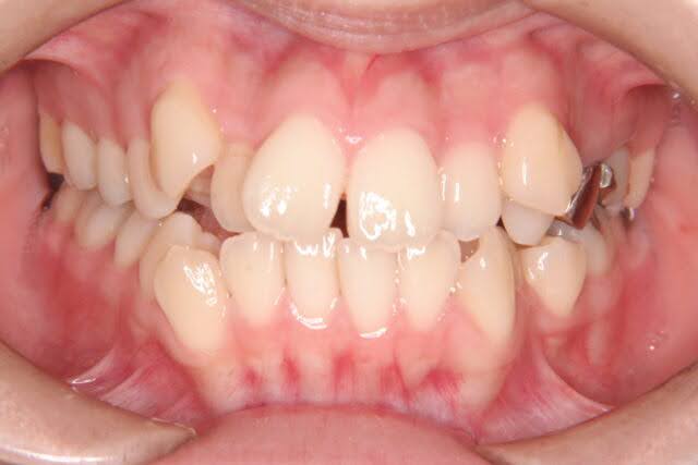
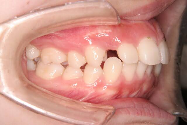
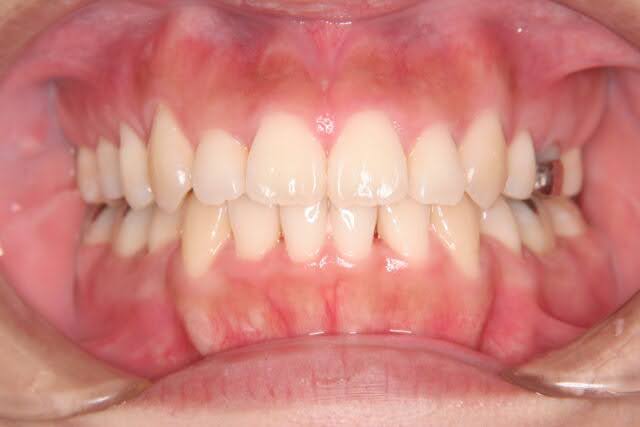
受け口(下顎前突) 子どもの矯正
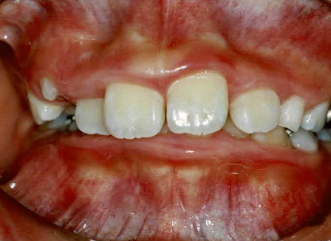
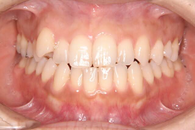
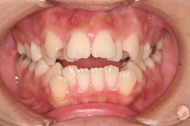
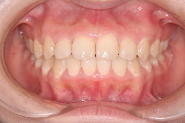
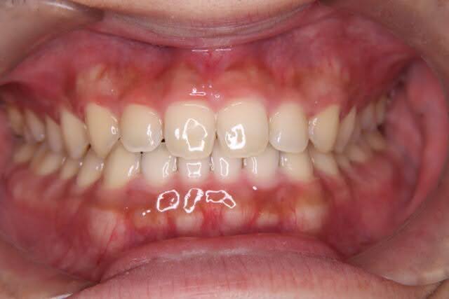
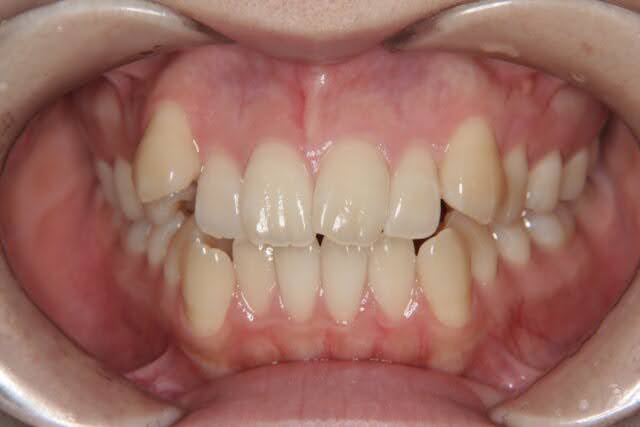
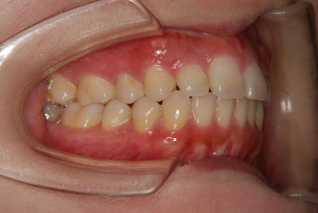
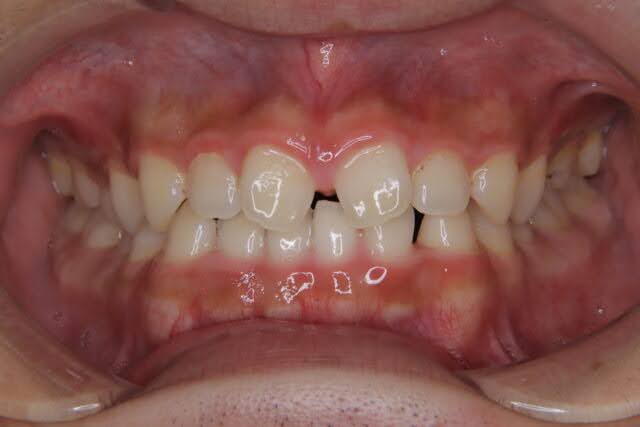
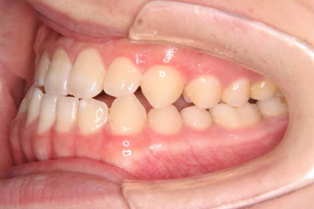
前歯の隙間とガタガタの歯が気になる

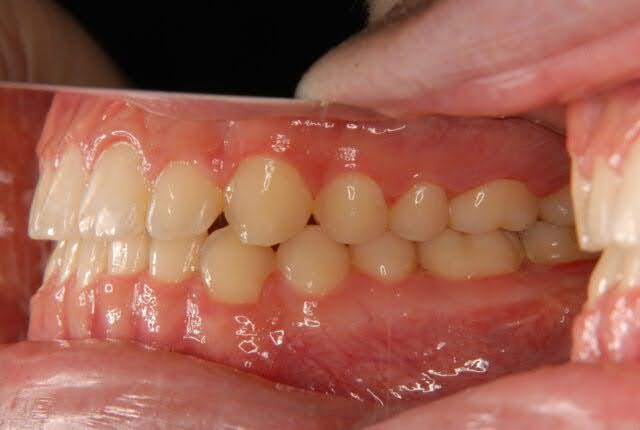
Before

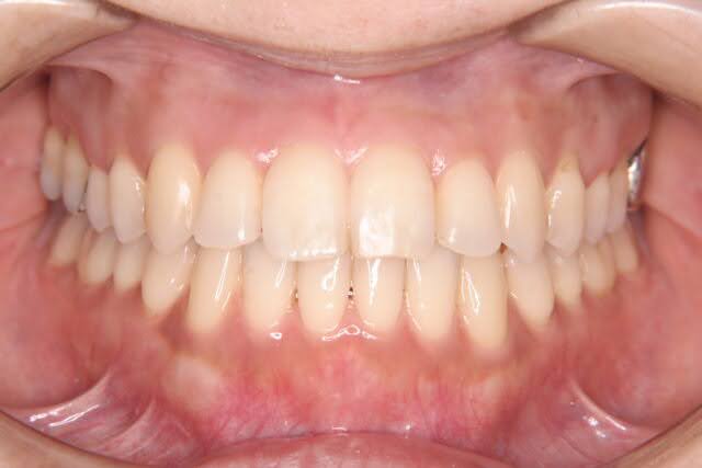
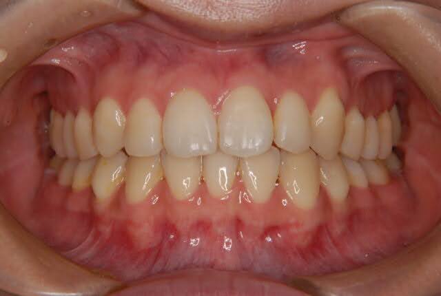
After
| 主訴 | 前歯の隙間、下の歯のガタガタが気になる |
|---|---|
| 診断名あるいは主な症状 | 下顎前突 |
| 治療期間・回数 | 5年11ヶ月・75回程(Ⅰ期・Ⅱ期の合計) |
| 年齢 | 11歳 |
| 治療に用いた主な装置 | セルフライゲーションブラケット装置 |
| 抜歯部位 | 非抜歯 |
| 治療費概算 | 約88万円(Ⅰ期・Ⅱ期の合計) |
| リスク副作用 | ・歯根吸収や歯肉退縮 ・磨き残しによる歯肉炎やむし歯の可能性 ・歯の動き方には個人差があり、計画通りに治療が進まないことがあります ・矯正治療後、指示通りに保定装置の使用をしていただけいない場合、歯が後戻りする可能性があります |
