CASE 症例紹介
お悩みから探す
治療方法から探す
全ての症例
受け口(下顎前突) 外科的矯正治療
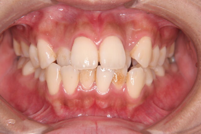
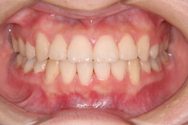
【外科矯正(保険適用)】受け口と前歯の隙間が気になる

Before

After
| 主訴 | 前歯の隙間と噛み合わせが気になる |
|---|---|
| 診断名あるいは主な症状 | 骨格性下顎前突症 |
| 治療期間・回数 | 3年7ヶ月(45回程) |
| 年齢 | 36歳 |
| 治療に用いた主な装置 | マルチブラケット装置 |
| 抜歯部位 | 非抜歯 |
| 治療費概算 | 約30万円(保険適用、手術入院費別) |
| リスク副作用 | ・歯根吸収や歯肉退縮 ・磨き残しによる歯肉炎やむし歯の可能性 ・歯の動き方には個人差があり、計画通りに治療が進まないことがあります ・矯正治療後、指示通りに保定装置の使用をしていただけいない場合、歯が後戻りする可能性があります |
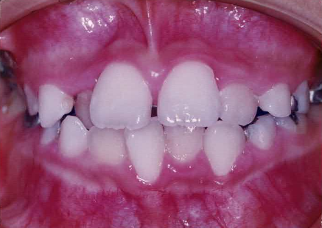
すきっ歯(空隙歯列) 子どもの矯正
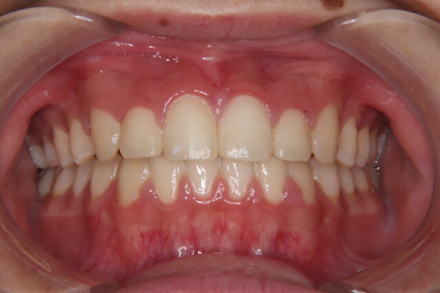
【10代の矯正】前歯の噛み合わせを改善したい

Before

After
| 主訴 | 前歯の噛み合わせが気になる |
|---|---|
| 診断名あるいは主な症状 | 切端咬合 |
| 治療期間・回数 | 4年1ヵ月・45回程(Ⅰ期・Ⅱ期の合計) |
| 年齢 | 14歳 |
| 治療に用いた主な装置 | マルチブラケット装置 |
| 抜歯部位 | 非抜歯 |
| 治療費概算 | 約88万円(Ⅰ期・Ⅱ期の合計) |
| リスク副作用 | ・歯根吸収や歯肉退縮 ・磨き残しによる歯肉炎やむし歯の可能性 ・歯の動き方には個人差があり、計画通りに治療が進まないことがあります ・矯正治療後、指示通りに保定装置の使用をしていただけいない場合、歯が後戻りする可能性があります |
出っ歯(上顎前突) 大人の矯正
【10代の矯正】出っ歯と下の歯のガタガタが気になる

Before

After
| 主訴 | 出っ歯と歯のガタガタが気になる |
|---|---|
| 診断名あるいは主な症状 | 叢生を伴う上顎前突 |
| 治療期間・回数 | 3年(40回程) |
| 年齢 | 18歳 |
| 治療に用いた主な装置 | 上顎:マルチブラケット装置 下顎:リンガルブラケット矯正装置 |
| 抜歯部位 | 上下左右4番 |
| 治療費概算 | 約99万円 |
| リスク副作用 | ・歯根吸収や歯肉退縮 ・磨き残しによる歯肉炎やむし歯の可能性 ・歯の動き方には個人差があり、計画通りに治療が進まないことがあります ・矯正治療後、指示通りに保定装置の使用をしていただけいない場合、歯が後戻りする可能性があります |
出っ歯(上顎前突) 大人の矯正
【20代の矯正】犬歯の先天性欠損

Before

After
| 主訴 | 上の歯が前にでている、いつも顎関節の音がなる(たまに口が開かなくなる) |
|---|---|
| 診断名あるいは主な症状 | 上顎左右犬歯の先天性欠損を伴う上顎前突 |
| 治療期間・回数 | 3年2ヶ月(45回程) |
| 年齢 | 22歳 |
| 治療に用いた主な装置 | セルフライゲーションブラケット装置 |
| 抜歯部位 | 非抜歯 |
| 治療費概算 | 約96万円 |
| リスク副作用 | ・歯根吸収や歯肉退縮 ・磨き残しによる歯肉炎やむし歯の可能性 ・歯の動き方には個人差があり、計画通りに治療が進まないことがあります ・矯正治療後、指示通りに保定装置の使用をしていただけいない場合、歯が後戻りする可能性があります |
歯がガタガタ(叢生) 大人の矯正
【20代の矯正】噛みちぎれない・前歯のゆがみが気になる

Before

After
| 主訴 | 前歯のゆがみ、噛みちぎれない |
|---|---|
| 診断名あるいは主な症状 | 叢生 |
| 治療期間・回数 | 2年10ヶ月(38回程) |
| 年齢 | 24歳 |
| 治療に用いた主な装置 | セルフライゲーションブラケット装置 |
| 抜歯部位 | 上下左右4番 |
| 治療費概算 | 約89万円 |
| リスク副作用 | ・歯根吸収や歯肉退縮 ・磨き残しによる歯肉炎やむし歯の可能性 ・歯の動き方には個人差があり、計画通りに治療が進まないことがあります ・矯正治療後、指示通りに保定装置の使用をしていただけいない場合、歯が後戻りする可能性があります |
