075-501-5489 歯並び相談メール LINE予約 LINE QRコード Instagram Instagram QRコード

小児矯正pediatric

小児矯正とは

小児矯正とは、成長期である子どもの歯並びを整え、適切な噛み合わせを促す治療です。
大人の矯正とは違い、子どもは成長過程であるため、顎の成長を利用した治療を行える点が特徴です。
症例や治療によって異なりますが、永久歯への生え変わりが始まる6歳頃から治療を開始することが多い傾向にあります。

適切な時期に矯正治療を受けるために、小児矯正を検討されている方は早めに歯科医師にご相談ください。

小児矯正の一期治療と
二期治療の違い

小児矯正には一期治療と二期治療があり、それぞれ治療の目的や治療内容が異なります。

一期治療

一期治療は、永久歯がきれいに並ぶための準備を行う治療です。子どもの成長期を活かして、顎の成長を促進したり抑制したりコントロールしながら、永久歯が生えるための土台作りを行います。成長が止まってしまう大人になってからでは、このような顎の成長をコントロールする治療が難しくなります。

二期治療

二期治療は、永久歯が生え揃ってから、歯並びや噛み合わせを整える治療です。一期治療で永久歯が並ぶための土台を整えておくことで、二期治療がスムーズに進行しやすくなります。また、一期治療で永久歯が並ぶためのスペースを確保できれば、二期治療で抜歯せずに済むケースもあります。

一期治療と二期治療は
どちらも必要?

小児矯正では、一期治療と二期治療のどちらも行うケースが多くありますが、すべての症例でどちらも必要というわけではありません。

一期治療で永久歯がきれいに並ぶことができるようであれば、二期治療が必要ないケースもあります。
また、顎の成長に問題がなければ一期治療を行わず二期治療からスタートすることもあります。

治療方法や治療期間はお子さまのお口の状態によって異なりますので、治療内容が気になる方はお気軽にご相談ください。

小児矯正の
メリットとデメリット

小児矯正にはメリットもデメリットもあります。
治療を検討されている方は、メリット・デメリットのどちらも把握しておいたほうがよいでしょう。

小児矯正のメリット

小児矯正のメリットには以下のようなことがあります。

  • 顎の成長をコントロールした治療
  • 将来的にむし歯や歯周病のリスク軽減
  • お口に対する意識向上
  • 悪習癖の改善

顎の成長をコントロールした治療

顎の成長をコントロールした治療を行えるのは、成長過程である子どものうちです。
顎の成長を促進したり抑制したりすることで、永久歯がきれいに並ぶ準備を行い、上下の顎のバランスを整えます。

将来的にむし歯や歯周病のリスク軽減

歯並びが整っている状態は、歯磨きを行いやすく、お口の中を清潔に保ちやすくなります。
早い段階で歯並びを調整することで、将来的なむし歯や歯周病のリスク軽減にもつながる可能性があります。

悪習癖の改善

歯並びに影響するような癖や習慣は早期に改善することで、歯並びへの影響も少なくなります。
長年の癖や習慣は改善が難しくなりやすいことから、子どものうちに悪習癖を改善しておくことで、きれいな歯並びを維持することにつながりやすくなります。

お口に対する意識向上

子どもの頃から矯正治療を行うことで、歯並びの見た目や歯磨きなどを意識できることがあります。
口元に対する意識が向上することで、お口の健康維持にもつながります。

小児矯正で用いられる
矯正装置

当院で取り扱っている小児矯正の矯正装置をご紹介します。

マルチブラケット装置

マルチブラケット装置

従来から用いられている一般的な矯正装置です。
歯の表面にブラケットと呼ばれる装置を接着し、その上にワイヤーを通して歯に矯正力を加えます。
固定式装置であるため、自分で外すことはできません。
装置周りにも汚れが付着しやすいため、丁寧な歯磨きを心がけることが大切です。

メリット

  • 固定式であるため装置の装着管理をしなくても治療を進められる
  • 幅広い症例に対応できる
  • 歯の細かな傾きなどの調整ができる

デメリット

  • 自由診療であるため、費用の負担がかかりやすい
  • 歯磨きが難しくなるため、むし歯にならないよう気をつける必要がある
  • 装置に慣れるまで違和感が強い
スクリュー付きプレート(拡大床)

スクリュー付きプレート(拡大床)

歯列のアーチを拡げる目的で使用される装置です。
中心部にあるネジを回すことで、装置とともに歯列を拡げます。
取り外しが可能な装置であるため、丸洗いできて清潔に保ちやすい特徴があります。
ただし、装置の紛失や破損に気をつけて、装着しない時は専用の容器に入れて保管するようにしましょう。

メリット

  • 取り外せるため清掃しやすい
  • 装置が目立ちにくい
  • いつも通りに食事や歯磨きができる

デメリット

  • 自由診療であるため、費用の負担がかかりやすい
  • 装着時間が不足していると、スムーズに治療を進められないことがある
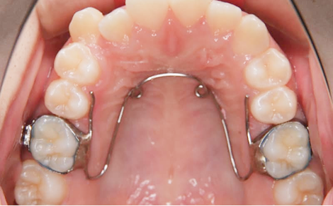
リンガルアーチ・クワドヘリックス

リンガルアーチ・クワドヘリックス

奥歯の位置を固定したり、歯列のアーチを拡げたり、傾斜している奥歯を起こしたりなどさまざまな治療目的で使用される装置です。
固定式であるため、自分で外すことはできません。

メリット

  • 装置が目立ちにくい
  • 固定式であるため装置の管理が不要
  • プレート式の装置に比べて違和感が少ない

デメリット

  • 自由診療であるため、費用の負担がかかりやすい
  • 装置周りに汚れが付着しやすいため、より丁寧な歯磨きが必要
バイオネーター

バイオネーター

下顎を前に誘導するために用いられる装置です。
下顎の成長不足による出っ歯や、深い噛み合わせの症例で使用します。

メリット

  • 下顎の成長を促す
  • 取り外しが可能な装置であるため清掃が行いやすい

デメリット

  • 自由診療であるため、費用の負担がかかりやすい
  • 治療の効果を得るためには、装置の装着時間を守る必要がある

小児矯正の治療の流れ

  • ①カウンセリング

    歯並びや噛み合わせなど今のお悩みをお聞かせください。
    矯正に関して不安なことや疑問に思うことがありましたらお気軽にご相談ください。

  • ②精密検査・診断

    歯の型取り、レントゲン撮影、セファロ撮影、口腔内写真の撮影などを行い、現在の状態を詳しく調べます。
    精密検査の結果をもとに診断を行い、治療計画を立案します。

  • ③治療説明

    患者さまに詳しく治療の説明を行います。
    治療方法や治療期間の目安、費用の詳細などをお伝えします。

  • ④小児矯正スタート

    患者さまに納得していただいたうえで治療を開始します。

  • ⑤保定

    矯正治療終了後は、歯並びを安定させるために保定期間が必要になります。

  • ⑥メンテナンスに移行

    矯正治療終了後も定期検診を受診し、歯並びや噛み合わせの状態を確認することで、トラブルが起きた際も早期に対応することができます。